Vous êtes ici :

Clinical Case PURESHADE #1

Class I restoration with mimetic universal composite PURESHADE shade 2 

(M. SCHOOL – Paris)

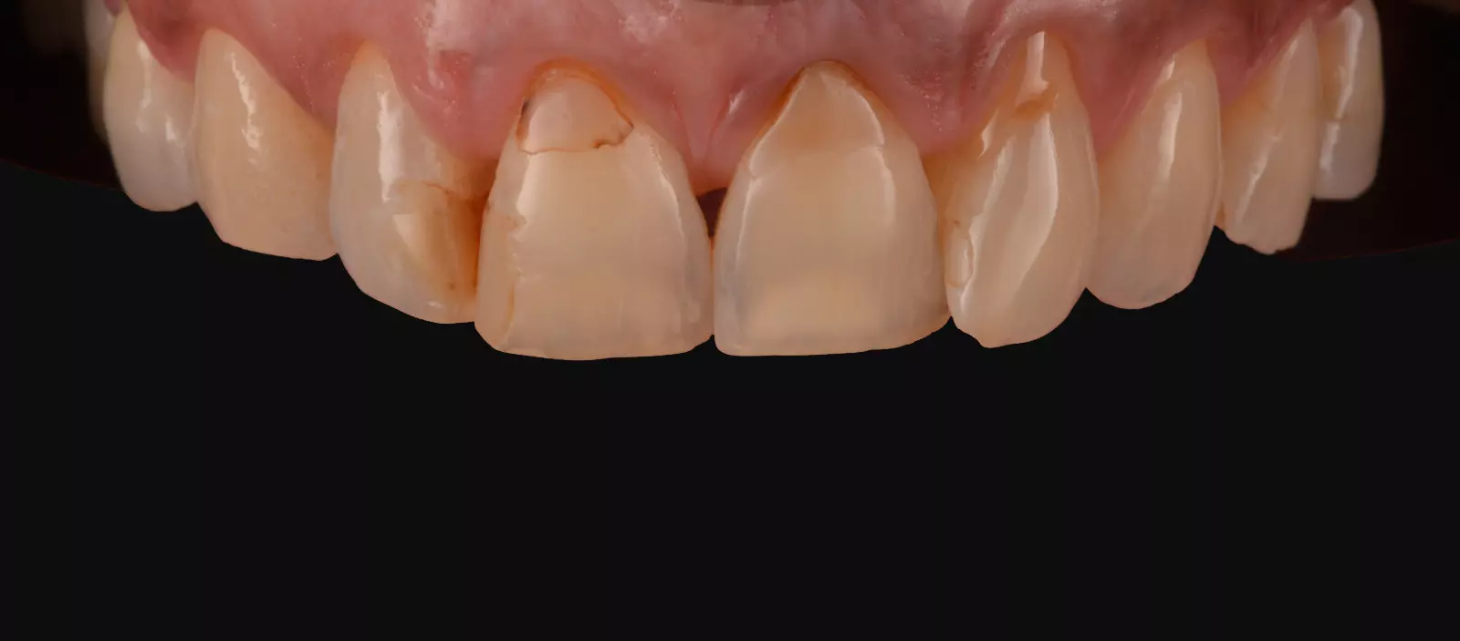
Clinical Case PURESHADE #2

Restoration atraumatic of central incisor fractures in pedodontics using PURESHADE ‘Shade 1’ universal mimetic composite

Clinical Case PURESHADE #3

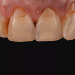
Restoration of composites for a class III distal and a class V on 11, and a class III mesial on 12. Carried out with PURESHADE ‘Shade 2’ universal mimetic composite 

(M.SCHOOL – Paris).

L'accès au site www.elsodent.com est strictement réservé aux professionnels de la santé bucco-dentaire.

Espace réservé aux professionnels de santé

Bienvenue sur notre site. En application de la loi relative au renforcement de la sécurité sanitaire des produits de santé, cet espace est exclusivement réservé aux professionnels de santé. En cliquant OUI, vous certifiez être un professionnel de la santé bucco-dentaire et être ainsi autorisé à accéder à cet espace.