Vous êtes ici :

CAS CLINIQUE PURESHADE #1

Restauration classe I en composite mimétique PURESHADE shade 2  

(M. SCHOOL – Paris)

CAS CLINIQUE PURESHADE #2

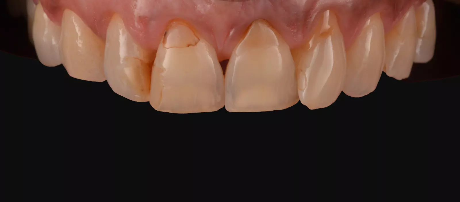
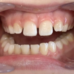
Restauration atraumatique de fracture de l’incisive centrale en pédodontie réalisées avec le composite mimétique universel PURESHADE ‘Shade 1’

CAS CLINIQUE PURESHADE #3

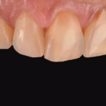
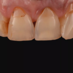
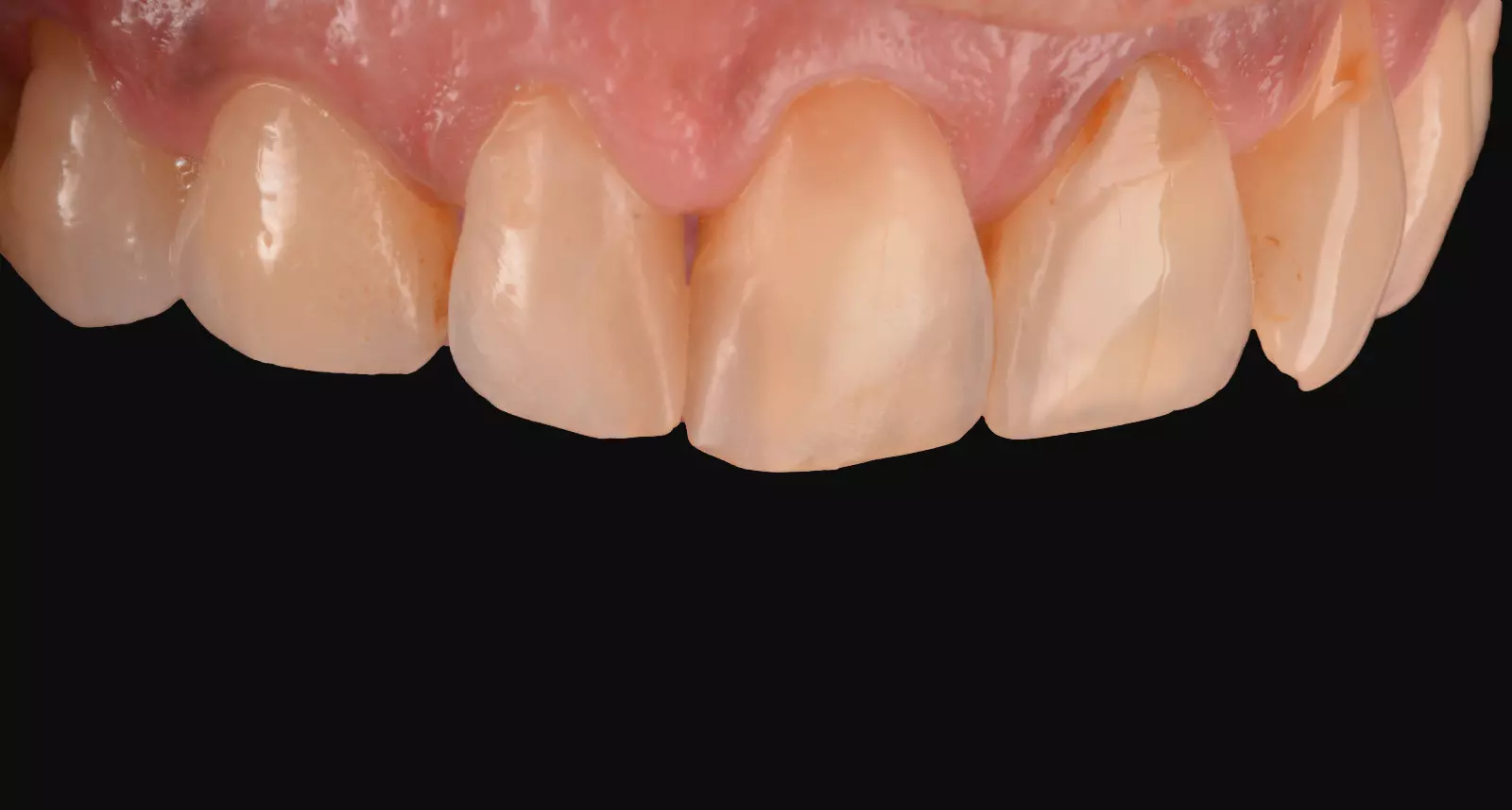
Réfection des composites d’une classe III distale et d’une classe V sur 11, et d’une classe III mésiale sur 12. Réalisées avec le composite mimétique universel PURESHADE ‘Shade 2’ (M.SCHOOL – Paris)

L'accès au site www.elsodent.com est strictement réservé aux professionnels de la santé bucco-dentaire.

Espace réservé aux professionnels de santé

Bienvenue sur notre site. En application de la loi relative au renforcement de la sécurité sanitaire des produits de santé, cet espace est exclusivement réservé aux professionnels de santé. En cliquant OUI, vous certifiez être un professionnel de la santé bucco-dentaire et être ainsi autorisé à accéder à cet espace.